Dental bonding is a procedure that is often used to restore teeth affected by decay as well as for the repair of chipped or fractured teeth and masking a range of dental imperfections such as stains, discolorations, gaps, misshapen, or undersized teeth. A popular method for restoring and improving the appearance of a person’s smile, dental bonding qualifies as a cosmetic procedure by virtue of the fact that the composite resins used for the procedure are tooth-colored and come in a range of shades that blend seamlessly with natural tooth structure.
A dental bonding procedure, which is performed to fill a cavity or to cosmetically repair a chip, fracture, enamel defect or gap between teeth is known as a “direct composite restoration.” For a direct composite restoration, both artistry and precision are required as the dentist places the selected shade of composite resin and carefully sculpts it to rebuild or improve the appearance of a tooth.
In terms of the cosmetic repair of dental defects, the masking of discolorations or the closure of gaps between teeth, a dental bonding procedure is considered the most economical and quickest method of care out of all the cosmetic solutions available for these types of corrections. Unlike porcelain veneers or ceramic crowns, dental bonding is a minimally invasive, one-visit cosmetic procedure. Moreover, unless a cavity is being cleaned and prepared prior to a dental bonding procedure, no drilling of tooth structure and no anesthesia is required.
When performing a bonding procedure, it is important to enable the composite resin to firmly adhere to the underlying tooth structure. To do this the surface of the tooth is etched and then painted with a liquid bonding agent just prior to the placement of the filling or cosmetic bonding. As the dentist places the composite resin, it is carefully sculpted to achieve the desired shape and then cured with a special light or allowed to set. Once hardened, the newly bonded restoration is polished and buffed for a smooth finish. Some dentists may offer composite veneers as an alternative to porcelain veneers, artistically bonding and blending successive layers of composite resin to transform the appearance of a tooth.
While a bonding procedure offers an excellent and cost-effective method of care for the treatment of minor cosmetic dental issues, there are a couple of considerations with this approach. Teeth that are restored or cosmetically enhanced with a dental bonding procedure are as a rule more susceptible to staining and chipping than with other types of cosmetic treatments. For this reason, highly pigmented foods and drinks are to be avoided along with tobacco products. As dental bonding can easily chip and break, it is also important not to bite into hard objects or foods and to avoid oral habits such as biting one’s nails or chewing on pens. However, with proper hygiene and care, a bonded restoration can last for many years.
'Office and home bleaching were performed in order to lighten the teeth. Composite Resins bondings were placed on the front four teeth in order to close the gaps and maintain symmetry.'
Worn Teeth, Discolored Teeth
Whitening, Bonding
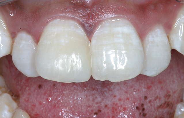
'Bonding on the front four teeth was used in order to close the gaps between the front teeth.'
Gaps
Bonding
Gaps
Bonding
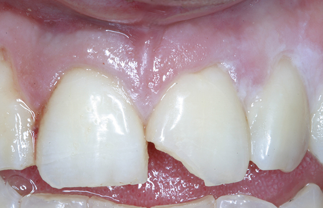
'Fractures to front teeth are common. Composite resin (bonding) was used here to fix the fracture immediately.'
Fractured Front Tooth
Bonding
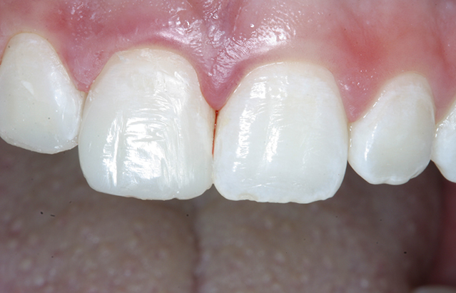
'Conservative treatment on a young tooth involved composite resin or bonding. A natural look can be achieved as seen in this close-up view.'
Fractured Front Tooth
Bonding
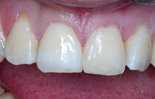
'Childhood accidents are very common and are as traumatic to the parents as it is to the child. Conservative bonding can immediately return a smile to both.'
Fractured Front Tooth
Bonding